Les causes des papillomes à la surface du corps chez les femmes sont dans la plupart des cas associées à une infection du corps par le virus de la papillomatose. Il existe également des formations congénitales qui sont transmises avec les informations génétiques de l'un des parents.
Que sont les papillomes
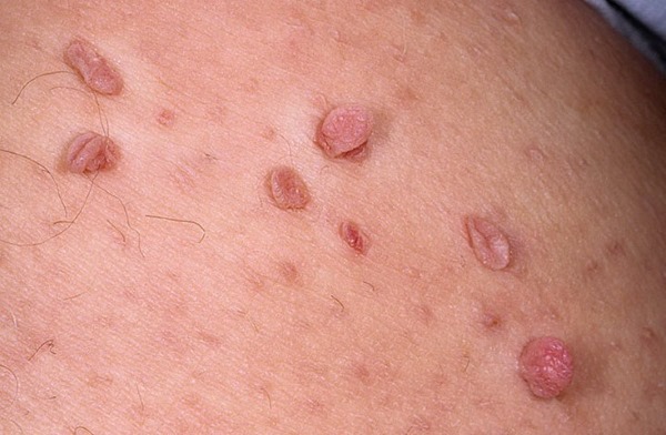
Les papillomes sont des néoplasmes bénins sur le corps de la femme, dont les causes sont l'activité pathogène de micro-organismes viraux de la famille des papillomavirus. Traduit du latin, cela signifie «papillo - mamelon» et «oma - une terminaison typique pour les tumeurs de toutes sortes».
Les papillomes sont formés à partir des propres cellules épithéliales de l'hôte. Extérieurement, il ressemble à une papille de liaison avec une forme plate, pointue, arrondie ou ramifiée.
Une caractéristique distinctive des néoplasmes bénins de ce type est qu'ils sont capables de se développer sur les muqueuses de la cavité buccale, des organes internes à structure creuse, à l'intérieur des ouvertures nasales, des sinus nasaux, sur les cordes vocales.
Initialement, la racine du papillome est formée à partir d'épithélium squameux avec une croissance progressive sur la peau générale.
La couleur de la tumeur peut aller de la chair au brun en passant par le rose... La localisation du papillome à l'intérieur de la vessie, des intestins, des organes du système respiratoire, peut provoquer le développement de maladies et de complications concomitantes.
Types de papillomes sur le corps chez les femmes
En fonction de l'emplacement des verrues, de leur apparence et des raisons qui ont provoqué leur formation, différents types de papillomes sont distingués. Le tableau ci-dessous répertorie les types de néoplasmes bénins de ce type, en indiquant leurs caractéristiques.
| Type de papillome | Caractéristiques du néoplasme |
| Verrues génitales | Ils peuvent être situés dans n'importe quelle partie du corps féminin. Extérieurement, ils ressemblent à une taupe suspendue oblongue, qui dans la plupart des cas a une teinte brune. |
| Papillome vulgaire | La forme classique de manifestation du virus de la papillomatose humaine. Les néoplasmes sont de forme ronde; ils sont attachés à la surface principale du corps sur une tige fine et courte. Ils sont de couleur chair comme le reste du derme. |
| Verrues génitales | La localisation des néoplasmes de ce type est la zone intime chez l'homme et la femme. L'infection survient à la suite de rapports sexuels non protégés avec un partenaire infecté. La localisation principale des tumeurs est la circonférence de l'anus, des grandes lèvres et des mineures chez la femme et le prépuce chez l'homme. En cas de non-respect des normes sanitaires et hygiéniques, une contamination domestique est possible. |
| Verrues séniles | Trouvé chez les femmes âgées. Ils apparaissent à la suite de changements hormonaux dans le corps, de troubles métaboliques, d'une exposition prolongée aux rayons ouverts du soleil. Le principal danger de ce type de papillomes est le risque élevé de dégénérescence en néoplasmes malins. |
| Plantaire | Les papillomes de ce type sont localisés exclusivement dans la zone de la partie plantaire du pied. Extérieurement, ils ressemblent à une petite tête de chou-fleur avec des inflorescences ramifiées. Si une femme marche beaucoup, porte des chaussures serrées, les verrues plantaires peuvent devenir enflammées, saigner et causer de la douleur. |
Presque tous les types de papillomes ci-dessus sont formés à la suite d'une infection d'une femme par l'un ou l'autre génotype du papillomavirus humain. Les seules exceptions sont les verrues séniles, qui peuvent apparaître en raison de changements liés à l'âge dans le corps des personnes âgées.
Stades et degrés des papillomes sur le corps chez la femme
Comme toute autre formation de tumeur bénigne, le papillome se développe sur le corps d'une femme en plusieurs étapes.
À cet égard, les étapes suivantes de la formation des verrues sont distinguées:
- 1ère étape - division incontrôlée de l'épithélium squameux et formation d'une racine de papillome, asymptomatique et imperceptible;
- Étape 2 - la formation d'une tête de verrue, qui s'élève de 1 à 1,5 mm au-dessus de la surface générale du corps, si elle est située au niveau des plis des articulations, dans la ceinture, sur le cou ou sous les aisselles, peut provoquer une sensation d'inconfort, de frottements, d'irritation cutanée;
- Étape 3 - un néoplasme plat, arrondi ou oblong à part entière apparaît, qui a une racine, une jambe, un corps principal en forme de tête et un apport sanguin dû aux plus petits vaisseaux capillaires connectés au reste des tissus épithéliaux;
- Étape 4 - prolifération multiple de papillomes similaires, qui se forment à la suite de la division cellulaire d'un néoplasme existant (la papillomatose étendue est dangereuse avec une forte probabilité de dégénérescence maligne d'une verrue).
Le stade de la maladie de la peau est déterminé par le dermatologue lors de l'examen du patient. La méthode de traitement est choisie en fonction des résultats du diagnostic, du type de papillome et du degré de son développement.
Symptômes de papillome
Les papillomes sur le corps (les causes chez les femmes qui ont provoqué l'apparition de néoplasmes sont associées à une infection par des micro-organismes viraux) sont des tumeurs uniques ou multiples de type bénin facilement identifiables par des signes externes.
Les symptômes de la papillomatose chez la femme se manifestent comme suit:
- l'apparition d'un petit tubercule, qui s'élève au-dessus de la surface générale de l'épithélium;
- une augmentation de la racine de la verrue, qui grossit chaque semaine;
- un néoplasme étranger apparaît sur le corps, qui est caractérisé par une forme ronde, ramifiée ou conique;
- les principaux lieux de localisation des papillomes sur le corps féminin sont les aisselles, l'intérieur des cuisses, le cou, la surface de la peau sous les glandes mammaires, la région de l'aine, le périnée, les organes génitaux, le dos, la partie plantaire de la jambe;
- en cas d'exposition prolongée à la surface de la verrue, des frottements et des douleurs peuvent survenir;
- le papillome peut avoir des teintes de couleur chair, jaunâtres, roses, brunes, ce qui est la norme;
- les tentatives d'auto-élimination du néoplasme ne conduisent pas à un résultat positif et la verrue coupée repousse.
La présence de symptômes tels qu'un changement soudain de la couleur de la verrue vers des couleurs plus foncées, l'apparition d'un processus inflammatoire aigu, la libération de pus ou de liquide sacré, des crises de douleur, sont des signes alarmants qui ne sont pas caractéristiques de la papillomatose. Dans ce cas, la dégénérescence d'une formation bénigne en tumeur cancéreuse n'est pas exclue.
Raisons de l'apparition
Les papillomes sur le corps (les causes chez les femmes qui ont provoqué la maladie peuvent être associées au mode de vie du patient) sont une pathologie dermatologique chronique qui apparaît sous l'influence des facteurs suivants.
Facteurs de papillomes sur le corps:
- mener une vie sexuelle promiscuité, avoir des contacts intimes avec un partenaire infecté sans utiliser de contraception barrière;
- partager des serviettes, des cosmétiques, du savon et d'autres produits d'hygiène avec une personne atteinte du papillomavirus;
- partager des pantoufles d'intérieur et d'autres types de chaussures;
- visiter des douches publiques, des bains, des piscines, des hammams à peau ouverte touchant des surfaces où des virions viables du papillomavirus sont présents;
- déséquilibre hormonal dans le corps causé par des maladies concomitantes du système endocrinien;
- obtenir une infection virale dans une plaie ouverte pendant le rasage;
- infection d'un enfant par une mère malade lors du passage du fœtus dans le canal génital.
Dans la plupart des cas, il n'est pas possible d'établir la véritable cause de l'apparition de verrues sur le corps. La période d'incubation du papillomavirus après l'infection varie de plusieurs jours à 3 ans ou plus.
Diagnostique
Pour poser un diagnostic précis sous forme de papillomatose, une femme doit subir un examen complet du corps et directement de la zone cutanée où le néoplasme bénin est localisé.
Le diagnostic des papillomes se déroule en plusieurs étapes, à savoir:
- examen visuel par un dermatologue;
- le don de sang veineux pour son étude biochimique et la détermination des virions du papillomavirus;
- examen des couches épithéliales plus profondes de la verrue à l'aide d'un dermatoscope;
- collecte de sang capillaire pour analyse clinique;
- sélection d'une particule de papillome pour un examen histologique supplémentaire afin d'exclure la nature oncologique de l'origine de la tumeur;
- livraison d'urine du matin pour déterminer sa composition biochimique et les indicateurs généraux de la santé d'une femme.
La localisation des papillomes dans la zone intime, sur les organes génitaux et la circonférence de l'anus peut nécessiter un examen supplémentaire par un gynécologue, ainsi que des tests pour la présence d'infections sexuellement transmissibles.
Quand voir un médecin
Le principal danger de ce type de verrues réside dans le défaut esthétique, ainsi que le risque de leur dégénérescence en oncologie.
Il est recommandé de demander l'avis d'un dermatologue dès l'apparition d'un néoplasme étranger.
Le diagnostic précoce et la détermination du type de papillome vous permettent d'organiser un traitement efficace et d'éliminer le néoplasme avec un risque minimal de complications.
Prévention des papillomes sur le corps
Les papillomes sur le corps (les causes chez les femmes qui provoquent des verrues peuvent être éliminées avec des mesures préventives efficaces) sont des tumeurs bénignes qui peuvent être facilement évitées en suivant les règles suivantes.
Par exemple:
- mener une vie intime ordonnée, n'avoir qu'un seul partenaire sexuel;
- ne portez que vos propres chaussures et ne laissez personne les chausser;
- utiliser une contraception barrière;
- évitez de visiter les bains publics, les toilettes, les piscines, les douches ou chaussez vos pieds avec des pantoufles en caoutchouc, ne touchez pas les parties du corps ouvertes aux surfaces des murs, des poignées de porte, des carreaux, des chaises longues;
- n'utilisez que vos propres cosmétiques, serviettes, savon;
- au moins une fois par an pour subir un examen médical préventif par un dermatologue;
- équilibrer la nutrition, dormir au moins 8 heures par jour, suffisamment de repos pour assurer le fonctionnement normal du système immunitaire.
Toutes les recommandations ci-dessus ne garantissent pas une protection à 100% contre l'infection par la papillomatose, mais elles vous permettent de minimiser le risque de maladie, d'éviter tout contact avec des sources potentielles d'infection.

Ne manquez pas l'article de titre le plus populaire: Plasmolifting du visage - qu'est-ce que c'est, comment il est réalisé, résultats, photos avant et après la procédure.Méthodes de traitement des papillomes sur le corps chez les femmes
La papillomatose est une maladie totalement incurable.Une femme qui a contracté le virus qui cause des verrues le porte pour le reste de sa vie. Les méthodes modernes de traitement de la maladie ne peuvent que se débarrasser des conséquences de la pathologie sous la forme de néoplasmes bénins.
Médicaments
Les médicaments traditionnels ne permettent pas d'éliminer complètement les papillomes, car les verrues de ce type nécessitent une élimination au moyen d'un traitement chimique, thermique, d'électrocoagulation, au laser ou chirurgical.
Méthodes traditionnelles
La médecine alternative offre ses propres moyens alternatifs pour se débarrasser des papillomes, quels que soient leur type et leur emplacement sur le corps féminin. Voici les méthodes traditionnelles pour éliminer les verrues.
Tricoter avec un fil
Il faut attendre que la phase lunaire soit en phase de décroissance. Vous devrez prendre un morceau de fil noir, l'utiliser pour nouer des papillomes, faire un nœud. Ce fil est sorti dans le jardin et enterré dans le sol avec les mots: "Quand ce fil se décomposera, toutes mes verrues disparaîtront." Après 2-3 semaines, le papillome commencera à ramollir et à s'affaisser sans aucun signe de douleur ou d'inflammation.
Moyens spéciaux
Il existe des remèdes spéciaux pour les verrues et les papillomes, mais ils ne donnent pas l'efficacité de leur action et garantissent une rechute. L'un de ces moyens, par exemple, le patch Formu Clear et d'autres patchs similaires.
Ces produits contiennent généralement des ingrédients naturels qui neutralisent le virus dans une certaine mesure.
Salive de chien
Pour vous débarrasser d'un néoplasme bénin en utilisant cette méthode, vous devez répandre la verrue avec une couche uniforme de crème sure. Après cela, la femme devrait aller chez le chien pour qu'il lèche le produit d'acide lactique avec sa langue.
Après cela, le papillome est scellé avec un pansement adhésif médical. Vous ne pouvez pas essuyer la salive de la surface du néoplasme. Le patch peut être retiré après 1 semaine. À partir de ce moment, la verrue commencera à s'effriter.
Cautérisation à la chélidoine
Pendant la saison de croissance de cette plante (de fin mai à mi-juin), vous devez cueillir quotidiennement les branches de chélidoine et cautériser les verrues avec du jus jaune toxique. La durée du traitement est de 10 à 30 jours. Des précautions doivent être prises pour empêcher le jus de pénétrer sur les muqueuses de la bouche et des yeux.
L'efficacité de l'utilisation des remèdes populaires ci-dessus pour éliminer les papillomes sur le corps n'a pas été prouvée par la science officielle. Les femmes qui ont utilisé des recettes similaires ont pu obtenir le résultat souhaité et répondre positivement à ces méthodes de thérapie.
Autres méthodes
Le moyen le plus efficace de traiter les papillomes est de les éliminer complètement.
Pour cela, les méthodes suivantes sont utilisées:
- combustion chimique - prévoit l'exposition à la surface de la verrue avec des solutions agressives à base d'acides, de potassium ou de sodium alcalin;

- électrocoagulation - le papillome est coupé et cautérisé à l'aide d'un instrument en forme de boucle dont l'extrémité métallique est sous courant électrique (la procédure de traitement est réalisée sous anesthésie locale);
- cryodestruction - un néoplasme bénin est brûlé à l'aide d'une solution d'azote liquide (sous l'influence des basses températures, les tissus épithéliaux gèlent puis se désintègrent en parties);
- coagulation au laser - l'excision du papillome est réalisée à l'aide de particules laser chargées positivement, l'élimination du corps principal de la verrue et la cautérisation de son système racinaire sont fournies;
- ablation chirurgicale - la méthode traditionnelle et la plus courante de traitement d'une maladie dermatologique, qui consiste à exciser la verrue avec un scalpel puis à appliquer du matériel de suture.
Toutes les méthodes de traitement de la papillomatose ci-dessus permettent d'éliminer les néoplasmes bénins avec un risque minimum de récidive de la maladie.
La période moyenne de rééducation est de 3 à 7 jours. La méthode la plus sûre est l'excision au laser et l'électrocoagulation. Le traitement le plus douloureux et traumatique est l'ablation chirurgicale traditionnelle de la verrue.
Complications possibles
En l'absence de mesures de réponse adéquates et de traitement de la papillomatose sur le corps, au fil du temps, une femme peut faire face aux complications suivantes.
Complications possibles:
- l'apparition de verrues similaires sur d'autres parties du corps, ce qui indique une augmentation de l'activité virale;
- la dégénérescence de la verrue en une tumeur cancéreuse maligne, qui peut entraîner la mort;
- l'apparition de néoplasmes similaires dans la cavité de la vessie, des intestins, du larynx, de la trachée, ce qui entraînera une perturbation de leur travail, des problèmes de miction, de respiration, de fonction digestive;
- cancer du col de l'utérus (des études scientifiques ont montré que 80% des femmes souffrant de cette maladie sont infectées par le papillomavirus humain;
- une augmentation de la taille de la verrue, la création d'un défaut cosmétique et esthétique;
- lésion du néoplasme et pénétration d'une infection bactérienne dans les tissus épithéliaux.
Pour éviter l'apparition de papillomes sur le corps chez les femmes, il est nécessaire de se souvenir des causes de leur apparition. Cela préservera la santé de la peau, empêchera une diminution du statut immunitaire de l'activité pathogène du papillomavirus. La maladie elle-même ne met pas la vie en danger, mais sa présence peut provoquer le développement de complications graves.
Conception de l'article: Anna Vinnitskaya
Vidéo sur les causes des papillomes
Les raisons de l'apparition de papillomes et comment le virus du papillome est traité:








